インプラント
インプラント
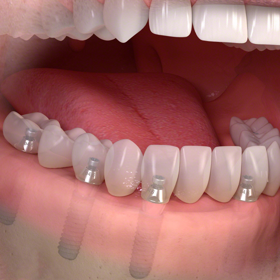
インプラント治療とは、むし歯や歯周病の進行、打撲などの外傷のほか、先天的な原因などにより歯を失った場合に、歯が抜け落ちたところの歯槽骨にインプラントと呼ばれるチタン製の人工歯根を埋め込む治療法です。
インプラント治療は、なくなった歯が一本の場合から、すべてなくなった場合まで有効です。
インプラントに使われるチタンは、アレルギーも少なく、かみ合わせに耐えられる強度があります。チタンと骨が結合するのでしっかりと固定することができ、治療後は違和感がないため、天然の歯と変わらないかみ合わせを実現できます。
また、残っている他の歯を削ったり、装置をつけたりすることもありません。他の歯に負担をかけずに治療ができます。
|
インプラント
|
治療法 歯を失った場合に、歯が抜け落ちたところの歯槽骨にインプラントと呼ばれるチタン製の歯根に人工の歯を埋め込む治療法です。 メリット
デメリット
|
|
ブリッジ
|
治療法 ブリッジとは、なくなった歯の両隣の歯を削って橋げたとし、そこに橋を渡すように人工の歯をかぶせる治療法です。 メリット
デメリット
|
|
部分入れ歯
|
治療法 部分入れ歯とは、なくなった歯の隣の歯に金属などのばねをひっかけて固定する治療法です。 メリット
デメリット
|
|
総入れ歯
|
治療法 総入れ歯とは、歯が一本も残っていない場合の治療法です。プラスチックの土台に人工歯が固定されており、それを歯茎に装着します。 メリット
デメリット
|

多くの歯をなくした場合、入れ歯だと食べにくかったりしゃべりにくかったりと、使い心地は悪くなってしまいます。
一方で、インプラントで失ったすべての歯を補うと使い心地はよくなりますが、費用の負担が大きくなってしまいます。
そこで、インプラントを使った入れ歯(インプラントオーバーデンチャー)という治療法をご紹介します。
インプラントを埋入した上に入れ歯を装着します。ご自身の歯が残っている場合は、インプラントと合わせて入れ歯に使うこともできます。
メリット
①部分入れ歯から総入れ歯まで適応できます
必要なインプラントの本数は、お口の状態により変わります
②咬む力が向上します
咬む力をインプラントが支えてくれるため食べやすくなります
③違和感が少なくなります
入れ歯のように歯ぐきで支える必要がないため、入れ歯をかなり小さくできます
磁石を使うことで維持力が上がり、外れにくくなります
④認知症の方や身体に不自由がある方でも取り外しができます
デメリット
①インプラントをあごの骨に固定する手術が必要となり、治療期間がかかります
全身疾患の既往やあごの骨の状態で処置ができないことがあります
②通常の入れ歯より高額になります
インプラント処置が可能か、費用はどのくらいかかるかなど、まずは歯科医師にご相談ください。
インプラント治療は外科手術であるため、治療を受けるには全身の健康状態が良好である必要があります。また、治療期間は長く、保険適用外のため治療費は高額になりがちです。
治療の条件は、治療予定の場所に骨がしっかりとあることです。骨が足りないとインプラントを埋め込むことができないためです。骨が足りない場合は、骨移植手術を受ける必要があります。
治療後についても、毎日のケアが不十分であったり、定期的なメンテナンスを受けていないことで、インプラント周囲炎になる恐れがあります。インプラント周囲炎は、自然に治ることはないため、歯科医院で適切な処置を受けることが必要です。炎症が進行している場合は、インプラントを摘出する必要があったり、インプラントが突然抜け落ちてしまうことがあります。
インプラント治療によってこれらのような問題が起きないよう、正確な診断と定期的なメンテナンスが必要です。